![]() |
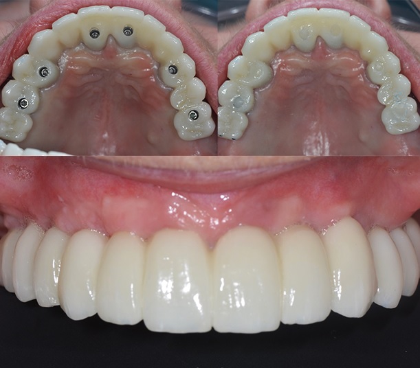
| Arcata superiore con 12 corone in zirconia incolate tramite 6 impianti dentali |
Capire le informazioni essenziali sugli impianti dentali è fondamentale per un paziente, perché potrà conoscere le basi dell’implantologia e comprendere quanto siano importanti e decisivi gli impianti per la salute orale in generale e per la masticazione e il sorriso in particolare.
Attraverso una serie di domande, quindi, vogliamo rispondere a quelle che sono le richieste più frequenti dei pazienti quando s’informano sulla possibilità di avere uno o più impianti dentali.
Cosa sono gli impianti dentali?
Una delle prime domande è proprio questa: che cosa si intende per impianto dentale? I denti naturali sono fissati all’osso della mascella grazie alla radice. Per poter sostituire un dente caduto, quindi, abbiamo bisogno di una nuova radice, che lo mantenga ben fisso alla mascella.
L’impianto dentale è questa nuova radice: una vite cava in titanio biocompatibile inserita nell’osso mascellare, su cui poi sarà posizionata una corona dentale.
![]() |
Attraverso una serie di domande, quindi, vogliamo rispondere a quelle che sono le richieste più frequenti dei pazienti quando s’informano sulla possibilità di avere uno o più impianti dentali.
Cosa sono gli impianti dentali?
Una delle prime domande è proprio questa: che cosa si intende per impianto dentale? I denti naturali sono fissati all’osso della mascella grazie alla radice. Per poter sostituire un dente caduto, quindi, abbiamo bisogno di una nuova radice, che lo mantenga ben fisso alla mascella.
L’impianto dentale è questa nuova radice: una vite cava in titanio biocompatibile inserita nell’osso mascellare, su cui poi sarà posizionata una corona dentale.
Si possono inserire più impianti dentali?
Se hai perso due denti ben distanti uno dall’altro – per esempio, un molare nell’arcata dentaria superiore e uno in quella inferiore – avrai bisogno di 2 impianti.
Se invece hai perso parecchi denti, puoi scegliere l’implantologia All on 6 oppure All on 8: si tratta di 6 o 8 impianti dentali su cui sono posizionate le corone dentali.
Chiunque può avere impianti dentali?
L’unico fattore da considerare è la densità ossea. Quando perdi i denti, l’osso della mascella non viene più stimolato dalla masticazione, quindi inizia pian piano a riassorbirsi, diventando sempre più sottile.
In questo caso c’è bisogno di un innesto osseo, prima di poter inserire l’impianto dentale, altrimenti la vite in titanio, la nuova radice, non avrebbe spazio se l’osso mascellare ha uno spessore sottile.
Chiunque può avere impianti dentali?
L’unico fattore da considerare è la densità ossea. Quando perdi i denti, l’osso della mascella non viene più stimolato dalla masticazione, quindi inizia pian piano a riassorbirsi, diventando sempre più sottile.
In questo caso c’è bisogno di un innesto osseo, prima di poter inserire l’impianto dentale, altrimenti la vite in titanio, la nuova radice, non avrebbe spazio se l’osso mascellare ha uno spessore sottile.
Gli impianti dentali sono differenti dai ponti e dalle dentiere?
Assolutamente sì! Ponti e dentiere sono protesi mobili, soprattutto non sono neanche molto stabili e hanno bisogno di continua manutenzione. Ma il problema principale è la possibilità di rimuovere ponti e dentiere.
Un impianto dentale con protesi fissa, invece, sostituisce al 100% il tuo dente perduto. Avrai quindi un dente fisso, stabile, ancorato alla mascella, con la tua gengiva naturale. Nessuno poterà la differenza.
È possibile essere allergici agli impianti dentali?
No, perché gli impianti sono realizzati in titanio puro, che è biocompatibile e si integra perfettamente all’osso.
Gli impianti dentali si inseriscono sotto anestesia?
Sì, sarà somministrata un’anestesia locale, ma più potente di quella solita per le carie dentali o per le cure canalari. Non sentirai assolutamente dolore né disagi e l’effetto durerà per qualche giorno.
Quanto tempo occorre per inserire un impianto dentale?
È un intervento che farai nello studio odontoiatrico: dura soltanto più delle normali procedure dentistiche. Ma l’impianto è posizionato con un solo appuntamento dal dentista. Poi bisogna attendere l’osteointegrazione prima di posizionare la corona fissa.
È complicata la manutenzione degli impianti dentali?
L’impianto dentale è la tua nuova radice: devi soltanto occuparti della normale igiene orale dei denti, spazzolarli tutti i giorni dopo i pasti, usare il filo interdentale e fare una pulizia approfondita dei denti dal dentista 2 volte l’anno.
Seguendo questi consigli, i tuoi denti saranno sempre puliti e i batteri non creeranno problemi ai denti naturali e alle gengive.
Posso mangiare qualsiasi cibo con gli impianti dentali?
Certamente, proprio come prima. È con ponti e dentiere che possono nascere problemi per qualche cibo duro, ma con impianti e corone in zirconio non hai nessuna limitazione.


